日期:2025-12-23 阅读:72

遗传因素是自然流产最常见的原因。妊娠早期临床流产有一半表现为染色体数目异常。妊娠丢失也与单基因突...

PNG Read More

日期:2025-12-23 阅读:136

由于不同研究对患者的监测强度不同,目前关于反复妊娠丢失(recurrent pregnancy loss,RPL)的自然预后存在较大分...

PNG Read More

日期:2025-12-02 阅读:159

诱导排卵(ovulation induction,OI)通常是指对持续性无排卵的不孕女性,采用药物进行卵巢刺激,诱导与自然周期...

PNG Read More

日期:2025-12-02 阅读:119

吸烟、喝酒、运动、熬夜等对排卵的影响...

PNG Read More

日期:2025-11-24 阅读:93

排卵事件是月经期的黄体生成素(luteinizing hormone,LH) 激增引发。生长窦卵泡分泌雌激素,高循环雌激素水平增...

PNG Read More

日期:2025-11-11 阅读:150

人类卵泡发生需要近1年的时间才能完成始基卵泡生长发育直至排卵(图2-2)的过程。卵泡的发育分为两个时期...

PNG Read More

日期:2025-11-09 阅读:73

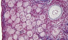
卵泡结构和发育阶段 卵泡是由多种胞相互调控所形成的整合度极高的整体,由围绕着卵母细胞的颗粒细胞(含...

PNG Read More

日期:2025-11-06 阅读:58

生殖医学作为独立的一门年轻的生命学科,从世界第一例体外受精婴儿出生算起,仅有40多年的历史。近年来...

PNG Read More

日期:2025-11-04 阅读:86

卵巢储备减退是POI的关键因素,吸烟等不良生活行为能显著降低卵巢储备,PCOS的家族聚集特点提示遗传因素在...

PNG Read More

日期:2025-11-04 阅读:147

排卵功能障碍导致的母婴安全问题 女性排卵功能障碍是低生育力的一个重要原因。排卵功能障碍女性体内激素...

PNG Read More

教授专栏

Image
Edward T. Livingston

Proin ex ipsum, facilisis id tincidunt sed, vulputate in lacus. Donec pharetra faucibus leo, vitae vestibulum leo scelerisque eu.