Tang_ivf
卵泡结构和发育阶段
卵泡是由多种胞相互调控所形成的整合度极高的整体,由围绕着卵母细胞的颗粒细胞(含卵丘颗粒细胞)、卵泡膜细胞(含卵泡内膜细胞和卵泡外膜细胞)、透明带、基膜等结构组成。卵泡的生长和发育贯穿女性的一生,对女性的激素调节、生育功能至关重要,是一个周期性、动态的过程,从始基卵泡(又称原始卵泡)生长到排卵阶段,整个过程跨度较长,约需要1年的时间。分为以下几个阶段:

(一)始基卵泡
从人类胚胎发育的第4周开始时,原始生殖细胞(primordial germ cells,PGC) 迁移到生殖嵴的体腔上皮。胚胎第5周,女性胎儿卵巢内含有500~1 300个PGCs。至胚胎6~8周伴随性别分化的开始,原始生殖细胞数目增多,体积增大,变成卵原细胞。至妊娠20周,胚胎卵巢中存在600万~700万个卵原细胞。此后,卵原细胞逐渐进入减数分裂,并停滞在第一次减数分裂前期的双线期,形成初级卵母细胞(primary oocyte)。初级卵母细胞逐渐被单层梭形前颗粒细胞包围,组装成始基卵泡(primordial follicle),其直径 30~60um,成为卵巢的基本功能单位。始基卵泡形成后会在数十年间处于休眠期,直到发生退化或者通过初始募集和周期募集进入生长期。
女性出生起双侧卵巢内共有100万~200万个始基卵泡,至青春期开始时,始基卵泡的数目已降至30万~50万个。此后始基卵泡逐渐募集、发育、闭锁,部分成熟并排卵。女性的一生只有400~500个成熟卵泡排卵。
(二)初级卵泡
初级卵泡(primary follicle)是由原始卵泡发育而来的。原始卵泡的卵母细胞不断增大,周围包绕的颗粒细胞由单层扁变为单层立方形或高柱状,形成初级卵泡。初级卵泡直径> 60μm,其卵母细胞与颗粒细胞共同合成和分泌糖胺聚糖,在卵细胞周围形成透明带(zona pellucida,ZP)。透明带在诱发精子顶体反应、保证精卵特异性结合、维持胚胎内环境稳定以及与宿主子宫的种系间识别中发挥重要作用。在初级卵泡阶段,颗粒细胞开始表达少量卵泡刺激素受体(follicle-stimulating hormone receptor, FSHR),但此时卵泡的发育不依赖促性腺激素。
在初级卵泡阶段,卵母细胞分泌转化生长因子(transforming growth factor, TGF)-B 家族成员中的生长分化因子 9(growth differentiation factor 9,GDF-9)和骨形态发生蛋白 -15(bone morphogenetic protein-15,BMP-15),局部作用于卵丘颗粒细胞,调节颗粒细胞分化和功能。颗粒细胞胞质突起,并延伸穿过透明带,卵母细胞同时表达间隙连接蛋白37(Cx37),从而在卵母细胞、颗粒细胞膜间形成缝隙连接,为卵母细胞提供营养的同时,实现卵母细胞与颗粒细胞间的交互沟通。

(三)次级卵泡
初级卵泡进一步发育形成次级卵泡(secondary follicle)。次级卵泡周围的颗粒细胞由单层立方上皮变成复层柱状上皮(细胞层数6~8层)。第2层颗粒细胞出现标志着次级卵泡发育的开始,此后卵泡逐渐增大,直径达120μm。次级卵泡的一个重要变化是颗粒细胞膜上的 FSHR 数目增多,同时出现雌激素受体(estrogen receptor,ER) 和雄激素受体(androgen receptor,AR)。因此,次级卵泡颗粒细 胞可以在卵泡刺激素 (follicle stimulating hormone,FSH)的作用下出现增殖分化,受性激素的调控。次级卵泡另一个重要变化是卵泡基底膜附近的梭形细胞分化出2层卵泡膜细胞,即卵泡内膜(theca interna)和卵泡外膜(theca externa),其中卵泡内膜细胞表达 LH/CG受体(luteinizing hormone/choriogonadotropin receptor,LHCGR),外膜层则由结缔组织和平滑肌纤维组成。至此,次级卵泡表达的 FSHR 和LHCGR,为促性腺激素依赖阶段卵泡发育的到来提供基础。
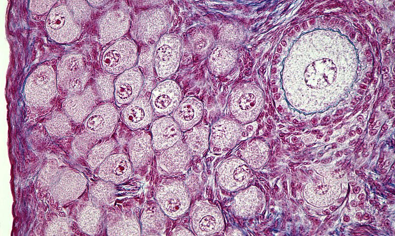
完全生长的次级卵泡应由5个部分组成:卵母细胞、透明带、6~8层颗粒细胞、基膜、卵泡内膜及外膜。在此阶段,除了间隙连接蛋白37(Cx37),颗粒细胞进一步表达间隙连接蛋白43(Cx43),使卵泡间及卵泡内部颗粒细胞、卵母细胞间的连接更加紧密,构成相互协调的微环境,共同调控卵泡的募集和发育。
(四)窦卵泡及排卵前卵泡
次级卵泡经窦前卵泡(pre-antral follicle)及小窦卵泡阶段(直径<2mm),进一步发育至窦腔出现时称为窦卵泡(antral follicle),直径2~9mm。窦腔内的卵泡液来自卵泡内膜毛细血管的渗出和颗粒细胞的分泌。随着卵泡的生长,卵泡腔不断增大,卵母细胞和部分颗粒细胞被挤到一侧,形成卵丘(cumulus oophorus)。卵泡内的初级卵母细胞周围的颗粒细胞称为卵丘细胞,透明带周围呈放射状排列的颗粒细胞则被称为放射冠(corona radiata)。卵丘细胞通过透明带与卵母细胞建立缝隙连接,形成一个功能上统一的整体,即卵丘卵母细胞复合体(cumulus-oocyte complex, COC)。
随着窦卵泡的生长发育,窦卵泡的内膜细胞逐渐具备产生类固醇激素活性细胞的典型超微结构:LHCGR受体增加,并进一步表达胰岛素样受体,进而在黄体生成素(luteinizing hormone,LH)和胰岛素的刺激下分泌雄激素,主要是雄烯二酮。当窦卵泡直径达2mm后,颗粒细胞FSH 受体明显增加,雌激素分泌增加,使窦卵泡对 FSH 敏感性加强。在 FSH 作用下,小窦卵泡继续发育,从直径2mm的小窦卵泡,逐渐生长到直径18mm以上的排卵前卵泡(preovulatory follicle,POF),又称格拉夫卵泡(Graafian follicle)。排卵前卵泡的壁层颗粒细胞雌激素分泌能力增强,同时表达高水平的LH 受体。此时血清雌激素可达300pg/ml,高水平雌激素激活垂体及下丘脑的正反馈调节,诱导FSH、LH峰的出现,进而卵泡成熟、排卵发生。
在卵泡整个生长发育阶段,卵母细胞与颗粒细胞间可通过旁分泌/自分泌途径相互作用,并通过建立缝隙连接,形成相互协调的整体(图2-1)。早在初级卵泡阶段,卵母细胞就通过分泌生长因子GDF-9和BMP-15,局部作用于卵丘颗粒细胞,通过与形态发生蛋白受体﹣II型结合,刺激卵丘细胞Smad信号通路,调节颗粒细胞分化及受体表达,调节自身微环境。同时,颗粒细胞合成Kit配体、AMH、刺激素、抑制素、TGF-a 等作用于卵母细胞,参与卵母细胞生长调控。
此外,在颗粒细胞和膜细胞间也可以通过旁分泌反馈进行双向对话。卵泡膜细胞分泌干细胞生长因子(hepatocyte growth factor,HGF)及角质细胞生长因子(keratinocyte-derived growth factor,KGF),刺激颗粒细胞产生Kit配体,而Kit配体正反馈促进卵泡膜细胞HGF及KGF合成。激素、雌激素同样参与颗粒细胞、膜细胞间的旁分泌/自分泌调节。以雄激素为例,膜细胞合成雄激素作用于颗粒细胞的雄激素受体,促进颗粒细胞增殖并提高颗粒细胞对FSH的敏感性。FSH 刺激颗粒细胞产生激活素和抑制素,反馈调控膜细胞雄激素的合成。这种卵母细胞﹣体细胞间及体细胞间的双向对话存在于卵泡发育的整个阶段,协调促进卵泡的发育及卵母细胞的成熟。